The Daily Insight.

Connected.Informed.Engaged.

updates

Quick Answer: Do They Make Dentures For Dogs

By Mia Ramsey |

YES! Some people may think that dentures are used on humans only, for aesthetic reasons, helping to prevent depression and low self-esteem. But it is absolutely possible for your dog to get dentures too! It is not a routine procedure, though and the risks and expense must be carefully considered.

Can you get fake teeth for a dog?

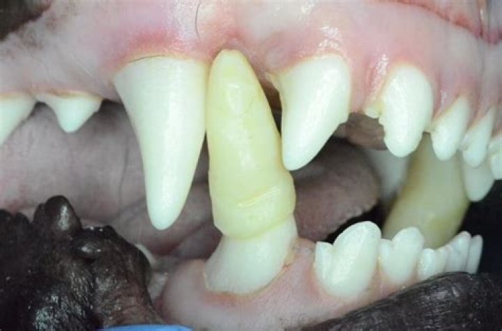
Advances in veterinary medicine are measured by the move to more sophisticated techniques. Teeth replacement with dental implants is an example of this trend. Many veterinary dentists feel that dental implants in pets can offer the same benefits that they do in humans.

How do you take care of a dog that has no teeth?

If your dog doesn’t have teeth, you still need to invest in a good toothbrush and doggy toothpaste. Believe it or not, your toothless dog still needs daily gum brushing for optimal oral health and hygiene. Your dog’s gum health is directly related to her heart health and overall wellness.

Can dogs cope with no teeth?

It is good to know that if a dog suffers from tooth loss or even has no teeth at all, they can cope. It may be that you need you need to mash up your dog’s food for them by adding warm water to it and using a fork to mash it. Another option is to switch from dry food to canned dog food.

How much does it cost to fix a dog’s tooth?

$1,500 to $3,000 or more is common. The canine tooth in a large dog, in particular, can be very expensive.

What type of dentures are the best?

In terms of stability, snap-in dentures are the best. These dentures securely snap into place with the aid of anchors on existing teeth or dental implants. These dentures are suitable for a patient without any teeth, but who has enough bone tissue to support an implant.

What can dogs eat if they have no teeth?

What Can You Feed a Dog or Cat With No Teeth? Canned Soft Food. Most dog food brands that make crunchy kibble also make canned, soft food that allows you to stick with the brand you trust. “Just Food for Dogs” (Yes, they help cats too!) Regular Kibble.

Do dogs feel better after teeth removal?

Your pup may be acting a little groggy or restless. Usually, though, he’ll get back to acting normal — or better — the next day. Your dog will be on an anti-inflammatory for a few days. We may also add a pain relief medication.

Will my dogs tongue stick out with no teeth?

These dogs have functional tongues, but, because of genetics, the tongue may be too large for the oral cavity, an abnormal jaw bone doesn’t support the tongue or missing teeth allows the tongue to slip out through the gap. Sometimes there are non-genetic causes to the hanging tongue.

Do rotten teeth hurt dogs?

Dental issues may cause feeding to become an uncomfortable or even painful process for your dog. As a result, they may be reluctant to open their jaw and chew food properly, and may drop food from their mouth while eating.

What to do when your dog’s teeth are rotting?

The most effective home remedy for tooth decay is daily brushing, especially on the chewing surfaces in the back of the mouth. You can try certain tartar-removing chew toys and dental treats, too.

What can you do for an old dog with bad teeth?

If your dog’s blood work comes back clear, schedule a dental cleaning. If your dog is generally in good health, the vet will sedate them in order to fully clean their teeth, scrape away tartar, and perform extractions if there are broken or infected teeth that need to be removed for your dog’s overall health.

How do you know if your dog’s teeth hurt?

When a dog is suffering from tooth pain, he may not eat as much as he usually does because it may be hurting him to chew. You may notice him start eating and then abruptly stop. He also may whine when eating or spit out his food.

Can you fix a dog’s broken tooth?

Most fractured need to be treated to create pain free function. There are typically two options if the nerve is exposed: root canal therapy and extraction. If the nerve is not exposed the tooth can be restored without root canal therapy.

Can a vet pull a dog’s teeth without anesthesia?

Yes, it is! A veterinarian may not want to anesthetize a medically compromised pet, and they will instead use another approach to clean a dog or cat’s teeth. You can have your pet’s teeth cleaned without anesthesia whether they’re young and healthy or have health issues.

Is a broken dog tooth an emergency?

While a broken tooth isn’t an extreme emergency, you should try and get your dog to a veterinarian with dentistry services as soon as possible once you notice they have a broken tooth in order to avoid any further damage.

Why do dentures shorten your life?

Dentures put wearers at risk of malnutrition because they cause wearers to avoid healthy foods which are difficult to chew, a major study has shown. In both cases, tooth loss and wearing dentures was associated with joint and muscle frailty, which can leave people at risk of bone breakages and falls.

How much does a good set of dentures cost?

How Much Do Full Dentures Cost? FULL DENTURES COST – ACRYLIC Complete Upper Denture $1,199* Complete Lower Denture $1,199* Complete Upper & Lower Denture $2,199.

How long does it take to get used to wearing dentures?

Expect Discomfort Early On As a general rule of thumb, dental professionals are likely to tell you that adjusting to new dentures takes about 30 days, on average. You might not be keen to wait this long, but you need to be careful how quickly you try to get back to normal.

What to feed senior dogs with bad teeth?

Soft dry dog food: great for all ages Its soft texture is ideal for dogs who can no longer eat dry food, such as dogs who are aging or experiencing oral pain. But even if your dog is perfectly healthy, soft kibble may be a good option due to the gentle, low temperature cooking method used to bake it.