The Daily Insight.

Connected.Informed.Engaged.

news

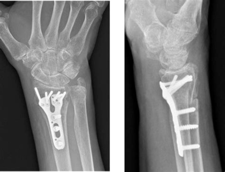
How To Fake A Broken Wrist

By Rachel Hill |

Can you break wrist without knowing it?

Sometimes a bone can break without you realizing it. That’s usually what happens to the scaphoid bone in your wrist, a boat-shaped bone located on the outermost side of the thumb side of the hand.

Can you break your wrist by twisting it?

What causes a navicular fracture? Most navicular fractures occur when you stretch your hand out in front of you to protect yourself from a fall. They can also occur when your wrist twists severely or is hit very hard.

What is the hardest bone to heal?

Treatments ranging from casting to surgery can be required. Unfortunately, the scaphoid bone has a track record of being the slowest or one of hardest bones to heal.

How long is a broken wrist in a cast?

You may need to wear a splint for a few days, or a week, while the swelling in your wrist reduces. Our doctors then likely will place a cast on the wrist, which you should plan to wear for 6-8 weeks.

Why do fingers swell with broken wrist?

“In most cases, the swelling of fingers in a context of wrist fracture is caused by a bandage that’s too tight.

How can I fix a broken hand at home?

How can you care for yourself at home? Put ice or a cold pack on your hand for 10 to 20 minutes at a time. Follow the cast care instructions your doctor gives you. Take pain medicines exactly as directed. Prop up your hand on pillows when you sit or lie down in the first few days after the injury.

What’s the worst bone to break?

Here are 10 of the worst bone fractures you could get. Skull. Wrist. Hip. Rib. Ankle. Pelvis. A fracture in the pelvis can be life-threatening, just like hip fractures. Tailbone. A tailbone fracture can make life difficult, and there is no way to hold the fractured tailbone in place. Elbow. A broken elbow is very painful.

Is my hand broken if I can move it?

The symptoms of a hand fracture include: Bruising and swelling of any part of the hand. Deformity in the joint, such as a finger that is crooked. Numbness, stiffness, or the inability to move the hand, fingers, wrist, and thumb.

How do you tell your wrist is sprained or broken?

When the bones of the wrist are broken, they cause the joint to look crooked or misaligned. In contrast, a wrist sprain results in swelling but does not typically cause crookedness. In very severe cases, a broken wrist may have bone protruding through the skin.

What is the weakest joint in the human body?

Explanation: There are only two ball and socket joints in the human body. They are the hip and the shoulder joints (there are two in the hip and one in each shoulder). Of the two areas where there are ball and socket joints, the shoulder is the weakest.

How long after breaking wrist Can you drive?

Surgeons’ opinions regarding whether patients were safe or not safe to drive whilst immobilised in a wrist cast varied by up to 50%. The timeframes suggested by surgeons after which patients could return to driving following a wrist fracture varied from zero to 12 weeks following the injury.

Are teeth bones?

Even though teeth and bones seem very similar, they are actually different. Teeth are not bones. Yes, both are white in color and they do indeed store calcium, but that’s where their similarities end.

What color cast can you get?

Cast Colors The following colors are usually available upon request: Navy Blue, Light Blue, Green, Red, Black, Pink and Off White (standard). Orange and Purple are not usually available. There is no extra cost associated with a colored cast.

Can you break a bone and still use it?

Sometimes, a really bad complete fracture will not be able to carry weight or otherwise function properly. Most of the time, however, fractures can indeed support weight. The patient can probably even walk on a broken leg—it just hurts like the dickens.

Can a broken wrist heal in 3 weeks?

Hand and wrist fractures often heal in 4-6 weeks whereas a tibia fracture may take 20 weeks or more. Healing time for fractures are divided into three phases: 1. Inflammatory Phase: starts at the time of injury and lasts 1-2 weeks.

Why does broken wrist hurt more at night?

During the night, there is a drop in the stress hormone cortisol which has an anti-inflammatory response. There is less inflammation, less healing, so the damage to bone due to the above conditions accelerates in the night, with pain as the side-effect.

Should a broken wrist still hurt after 4 weeks?

It usually takes four to six weeks for new bone to form to heal your fracture. When the cast is removed most people find that their wrist is stiff, weak and uncomfortable to start with. It may also be prone to swelling and the skin dry or flaky, this is quite normal. It is normal to get some pain after your fracture.

How can I fall without my wrist hurting?

5 Tips to Avoid Injury During a Fall Protect your head by tucking it in as you pivot to the side. Bend your elbows and knees, and try to fall on the fleshy part of your body. Shift the body weight to minimize the impact. Avoid being rigid and panicky, instead, loosen up as you fall.

Can I make my own cast?

You can make a realistic-looking arm cast for yourself, your friend, or a doll using the appropriate materials and techniques. A cast for a human requires layering stockinette beside the skin, followed by padding, followed by the plaster.

Are there removable casts?

You will be going home with a removable cast (sometimes referred to as a splint). A cast helps your body heal by holding your injured bones or joints in place. A damaged cast can keep the injury from healing well. Take good care of your cast.